Deși este destinată doar celor cu patologii medicale, pacienți din întreagă lume se înghesuie pe listele de așteptare.
Marco, 35 de ani, italian, avea o înălțime puțin sub medie, dar, fiind vânzător, nu voia să mai privească clienții de jos în sus: „A devenit o obsesie”, spune bărbatul, citat de publicația Corriere della Sera.
Peter, un american de 32 de ani, a crescut de la 172 cm la 184 cm: „Toată lumea mă respectă”, spune el mulțumit. Procesul a implicat două intervenții chirurgicale, luni întregi de dureri intense, fizioterapie și zile petrecute rotind cheia care permitea extinderea membrelor cu câte un milimetru pe zi.
Frank, britanic în vârstă de 38 de ani, avea 170 cm și era nemulțumit de înălțimea sa. A decis să se opereze după ce s-a căsătorit cu o femeie aproape la fel de înaltă, 168 cm. Acum, cu 10 cm în plus, se simte mai bine, deși după intervenție a riscat să moară din cauza unei embolii pulmonare.
@romania_fastforward Cum câțiva centimetri în plus pentru bărbați ajung să fie o tortură de luni de zile #operatie #picioare #lungire #inaltime #sanatate #roffw #stiri #infos ♬ sunet original – Romania Fast Forward
Noua modă în materia procedurilor estetice este alungirea membrelor, iar Turcia este destinația preferată datorită prețurilor accesibile pentru chirurgia estetică: de la păr, nas, ochi și față, până la picioare. În 2024, peste 1,5 milioane de turiști s-au deplasat în Turcia din motive medicale, de șase ori mai mulți decât în 2012.
Wannabetaller, Travelmedi sau Lunaclinic, există nenumărate site-uri care oferă pachete all inclusive și prima evaluare gratuită. „Nu pierde timpul, descoperă-ți un nou tu. Întreabă acum” este sloganul care te invită să completezi formularul sau să contactezi asistentul pe WhatsApp, scrie Libertatea.

Prețul variază între 20.000 și 50.000 de euro, în funcție de moda aleasă. La suma aceasta se mai adaugă aproximativ 8.000 de euro pentru fizioterapia postoperatorie și un sejur la hotel, care durează de obicei trei luni.
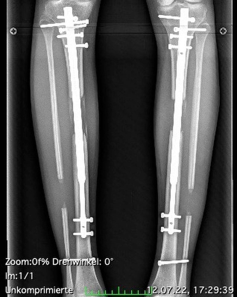
Cea mai utilizată operație pentru creșterea în înălțime se bazează pe metoda Ilizarov, dezvoltată în anii ’50 în Siberia: osul este secționat și alungit treptat cu fixatori externi, stimulând regenerarea oaselor, tendoanelor, nervilor și vaselor.

Variantele moderne includ metoda Lon, care folosește șuruburi intramedulare și fixatori externi ulterior îndepărtați, și Precice 2, mai scumpă, dar mai puțin invazivă, controlată prin telecomandă, reducând cicatricile și riscul de infecție.
Faza de alungire durează aproximativ trei luni, cu fizioterapie zilnică pentru a stimula osul prin mers. Marco povestește: „Durerea este cumplită, ca și cum ceva ar exploda în tine. În primele zile te răzgândești, nu te poți mișca și trebuie să continui singur la hotel”.
„Există risc de leziuni ale nervilor, embolii, tromboze, rigiditate articulară, picior de balerină, consolidare osoasă necorespunzătoare, fracturi, infecții sau deviații axiale”, avertizează Dr. Giovanna Weber.
Totuși, rezultatul nu este mereu cel dorit: „Poți pierde armonia corpului, mersul nu mai este fluid, parcă mergi pe tocuri înalte”.
Iar complicațiile pot fi fatale. În februarie 2025, un cetățean saudit, care care a trecut prin această procedură, a decedat într-un spital din Istanbul în perioada de recuperare la hotel, deși operația părea să fi decurs perfect.

Motivul principal este insatisfacția în legături cu propriul corp. Aceste nesiguranțe își au rădăcinile încă din copilărie, iar dacă nu sunt înfruntate, pot duce la tulburare dismorfică corporală, depresie, anxietate și risc suicidar.
Dr. Mehmet Kocaoglu, chirurg la Istanbul, spune: „Nu recomand operația pentru cei peste 140 cm care nu au acondroplazie. Nu există date pe termen lung privind efectele asupra articulațiilor. Ideal, pacienții au între 20 și 30 de ani”.
Theresia Fischer,, 33 de ani, model german, a crescut de la 170 la 184 cm după șapte operații pentru a-l mulțumi pe soț. Azi consideră că a greșit: picioarele ei sunt disproporționate față de corp.
Este recomandat să verificați licențele și acreditările clinicilor înainte de orice intervenție. Potrivit Ministerului Sănătății din Turcia, au fost acreditate 643 de spitale, 1.043 de instituții, 177 de centre medicale private și 2.029 de clinici.
În schimb, operațiile care nu respectă standardele internaționale rămân frecvente în sectorul estetic.
„Inițial pacienții erau cei cu întârziere de dezvoltare sau acondroplazie. Azi cererea pentru scopuri estetice a crescut, dar riscurile trebuie înțelese. Nu e ca o rinoplastie, aici poți deveni dependent de altcineva toată viața”, a declarat profesorul Yunus Öç din Istanbul.
Cel puțin 28 de britanici au murit în Turcia între 2019 și 2025 din cauza complicațiilor chirurgicale estetice. Cauzele includ lipsa îngrijirii postoperatorii, informații insuficiente și protocoale de siguranță neadecvate.
Citește și: Vine iarna în Româna, avertizare meteo de frig, ninsori și ploi. Date de ultimă oră de la meteorologi