Unităţile de primiri Urgenţe au devenit suport pentru secţiile de ATI ale spitalelor care tratează pacienţii COVID. În Bucureşti nu mai sunt locuri la ATI pentru pacienţii COVID-19 cu forme grave.
De exemplu, la Spitalul Clinic de Urgență Sfântul Pantelimon din București sunt 45 de locuri la Urgență, dar sunt 50 de pacienți care așteaptă.
„Imagini de pe front: UPU Sf. Pantelimon! În momentul de față, unitățile de primiri urgențe sunt efectiv ca pe front. UPU Sf. Pantelimon are 45 de locuri, inclusiv cortul din curte, dar sunt 50 de pacienți care așteaptă.
Ce așteaptă? Șanse pentru a lupta pentru propriile vieți!
18 sunt de terapie intensivă și așteaptă eliberarea unor locuri cât mai repede, iar 21 au nevoie de oxigen și așteaptă să fie transferați pe secțiile cu O2.
Da, este foarte grav ce se întâmplă! Personalul medical luptă alături de pacienți pentru dreptul acestora la viață”, este mesajul postat pe pagina de Facebook Ro-Vaccinare.
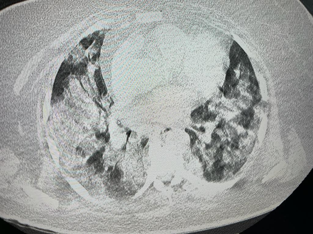
Autorităţile prezintă şi imagini din examenul CT pulmonar al unei paciente de 71 ani, nevaccinată pe motiv că are diabet.

„A stat acasă o săptămână și a venit în ultimul moment. A fost adusă cu saturație de 45, “corectată” până la 74 cu 15 l de O2. PO2 normal minim admis: 70.
95% afectare pulmonară și este nefumătoare”, au mai transmis autorităţile.
Situaţie gravă este şi la Spitalul Victor Babeș din Timișoara. Conducerea unităţii medicale a anunţat că a fost deschisă o secție de Pre-terapie pentru bolnavii de Covid ca urmare a creșterii numărului de pacienți COVID-19 cu forme severe.
Citeşte şi: Situaţie disperată în Spitalul din Craiova. Zeci de pacienţi COVID-19 aşteaptă eliberarea unui loc la ATI
„Creșterea accentuată a numărului de pacienți cu forme severe și foarte severe de infecție cu SARS-CoV 2, dar și numărul mic de paturi de ATI a dus la necesitatea înființării unei Secții de Pre-Terapie la Spitalul de Boli Infecțioase și Pneumoftiziologie Dr. Victor Babeș. Aseară, parterul secției de Pneumologie a fost transformat în zonă roșie”, au anunțat duminică reprezentanții unității medicale.
Aici sunt disponibile 34 de paturi în care vor fi internați pacienții ce necesită suport respirator.
„Din păcate, în fiecare zi crește numărul pacienților care ajung la spital cu forme foarte severe de boală, cu afectare pulmonară de peste 60-70 și uneori chiar și de 80 la sută și care, fără suport respirator, fără oxigen suplimentar, nu supraviețuiesc. Am fost nevoiți să deschidem acestă secție, întrucât Terapia noastră este mică și nu facem față. În noua configurație, putem să le asigurăm pacienților, pe care îi internăm în Secția de Pre-Terapie, tratamentul respirator de care au nevoie. Practic, această secție funcționează aproape ca o unitate de terapie intensivă. Ceea ce nu putem asigura acolo, dar sperăm ca niciun pacient să nu aibă nevoie, este procedura de intubare. Pentru cei care ajung la acel moment trebuie să căutăm repede o secție de ATI cu paturi libere. În același timp, vreau să reamintesc că Spitalul Victor Babeș are nevoie de o zonă albă, în care să fie tratați pacienții care au afecțiuni pulmonare și care necesită internare. Nu vom renunta la această zonă, întrucât și acești bolnavi sunt importanți pentru noi, la fel de importanți precum pacienții cu COVID 19. Nu ne mai permitem să transformăm întreg spitalul într-o zonă roșie și nici n-o vom face”, a declarat Cristian Oancea, managerul Spitalului de Boli Infecțioase Victor Babeș Timișoara.
Pacienții din Secția de Pre-terapie vor fi monitorizați și consultați de un specialist ATI care se alătură echipei medicale din Secția de Pneumologie. Bolnavii vor putea fi conectați, dacă este nevoie, la aparatura de ventilație non-invazivă sau la aparatele de ventilație cu debit mărit de oxigen (high-flow).
„Începând de aseară și până în acestă dimineață, am internat zece pacienți. Au fost aduși cu ambulanțele din UPU-urile de la Municipal și Județean. Toți au o formă moderat severă de COVID19 și au avut nevoie de oxigen suplimentar. Din cei internați în garda mea, din cei 10, doar doi sunt vaccinați”, a spus Gabriel Geru, medic primar pneumolog, Spitalul de Boli Infecțioase și Pneumoftiziologie Victor Babeș Timișoara.