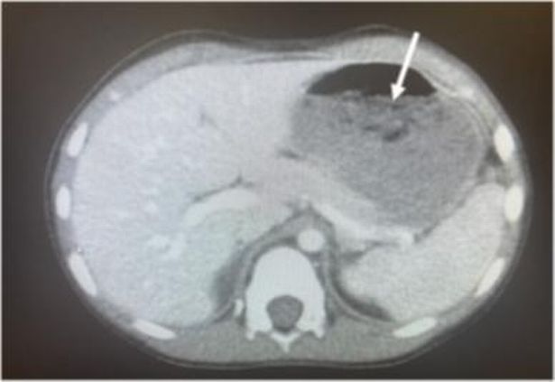
Un copil de doar 5 ani a fost adus de urgență la un spital din statul Ohio, SUA, deoarece acuza dureri mari de burtă și diaree. Medicii au început imediat investigațiile, inclusiv o radiografie abdominală. Așa au descoperit medicii că în stomacul micuțului se ascundea un bulgăre de gumă de mestecat.
Citește și: Puneți un cub de gheață într-o pungă de plastic. Metoda simplă de a îndepărta guma de mestecat de pe haine
Potrivit greatnews.ro, cu o zi înainte, băiatul a înghițit aproximativ 40 de bucăți de gumă de mestecat, într-un moment de neatenție din partea părinților.
Citește și: Guma de mestecat conţine un aditiv foarte toxic. UE a decis interzicerea lui

Astfel, medicii i-au introdus copilului pe gât un tub de metal, apoi au folosit un forceps pentru a apuca bulgărele de gumă și pentru a îl extrage.